- 当前位置: 首页 > 牙齿种植
- 南京种植牙的费用
- 来源:康贝佳口腔 发布时间:2018-06-06 14:28
牙齿是咀嚼食物较重要的器官,促进胃肠的消化。但人们总会因为意外、年龄等因素失去牙齿。以前,很多人都会想到去安装假牙,但假牙存在咀嚼功能差,取戴不便等问题。如今,种植牙技术的发展完美解决了这问题,越来越多的人开始了解并尝试种植牙。那么南京种植牙齿价格是多少呢?

【种植牙介绍】
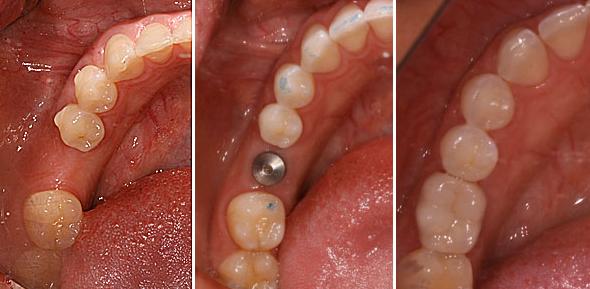
康贝佳医生:种植牙被誉为继乳牙、恒牙之后的人类“第三副牙齿”。它突破了传统镶牙方式的缺陷,稳固、舒适、咀嚼力如同真牙。种植牙也叫人工种植牙,并不是真的种上自然牙齿,而是通过医学方式,将与人体骨质兼容性高的纯钛金属经过精密的设计,制造成类似牙根的圆柱体或其他形状,以外科手术的方式植入缺牙区的牙槽骨内,经 1~3 个月后,当人工牙根与牙槽骨密合后,再在人工牙根上制作烤瓷牙冠。
【种植牙优势】
1、与自然牙相似度高,能根据牙缺失患者的脸型及自身条件进行设计制作牙冠
2、舒适度可媲美真牙,与牙槽骨、牙龈紧密结合,无需摘戴
3、恢复咬合功能,般假牙的咬合力只有自然牙的1/20,而种植牙的咬合力接近自然牙,可以嚼碎较硬的食物
4、独立存在牙槽骨内,不需磨损健康邻牙
5、摆脱活动假牙的不便,不会出现牙龈疼痛、异物感、异味、发音不清楚等问题
【种植牙价格】
种植牙的价格并没有个具体的数字,跟患者自身牙齿缺失情况有关,如缺失的牙齿数量多,价格自然会高;种植牙品牌也很大程度上影响了价格,例如国产和进口的种植品牌,价格也是有差异的;专业的口腔医院和牙科医生也会影响种植牙价格,实际上种植牙对医生的技术水平要求很高,因此建议大家选择正规牙科医院做种植牙。
【康贝佳百康种植】
康贝佳Bicon种植技术不仅在临床上禁受住了时间的考验,而且引领着口腔种植学新的发展方向。对通常的咀嚼力量都可以承受,咀嚼功能大大优于其它传统假牙,而且不需要磨损周围的健康牙齿,通过自身的人工牙齿进行治疗,大大提高了治疗的安全性,让人们轻松快速拥有健康美丽的牙齿。
【温馨提醒】 以上是南京康贝佳口腔医院对南京种植牙齿价格的解答。想了解更多种植牙相关的知识,欢迎点击我们的在线咨询或拨打24小时康复热线,我们将为您提供专业、详细的解答!


























